Новгородские врачи спасли пациентку с гигантской грыжей

Новгородские врачи спасли пациентку с гигантской грыжей

Новгородские врачи спасли пациентку с гигантской грыжей

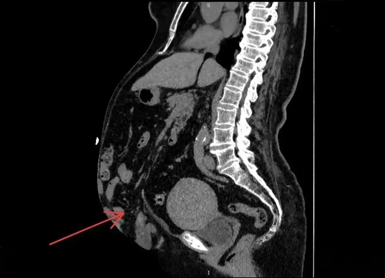
70-летняя жительница города Холм столкнулась с грыжей не в первый раз. Несколько лет назад ей удалили пупочную грыжу, затем — рецидив послеоперационной грыжи. Со временем грыжа вернулась и достигла большого размера.

«Женщина долго не решалась на повторную операцию, но когда терпеть неудобства стало тяжело, поступила в приёмный покой Новгородской областной клинической больницы», — рассказали в минздраве Новгородской области.

Результаты компьютерной томографии показали, что грыжа достигла 41% от объёма брюшной полости.

Подробнее

Источник: Telegram-канал ""53 новости" Великий Новгород и область"

Топ

Лента новостей